出っ歯と下の前歯のがたつきが改善した矯正治療例
お母様が息子の出っ歯を、息子さんご本人は下の前歯のがたつきが気になるとのことでした。
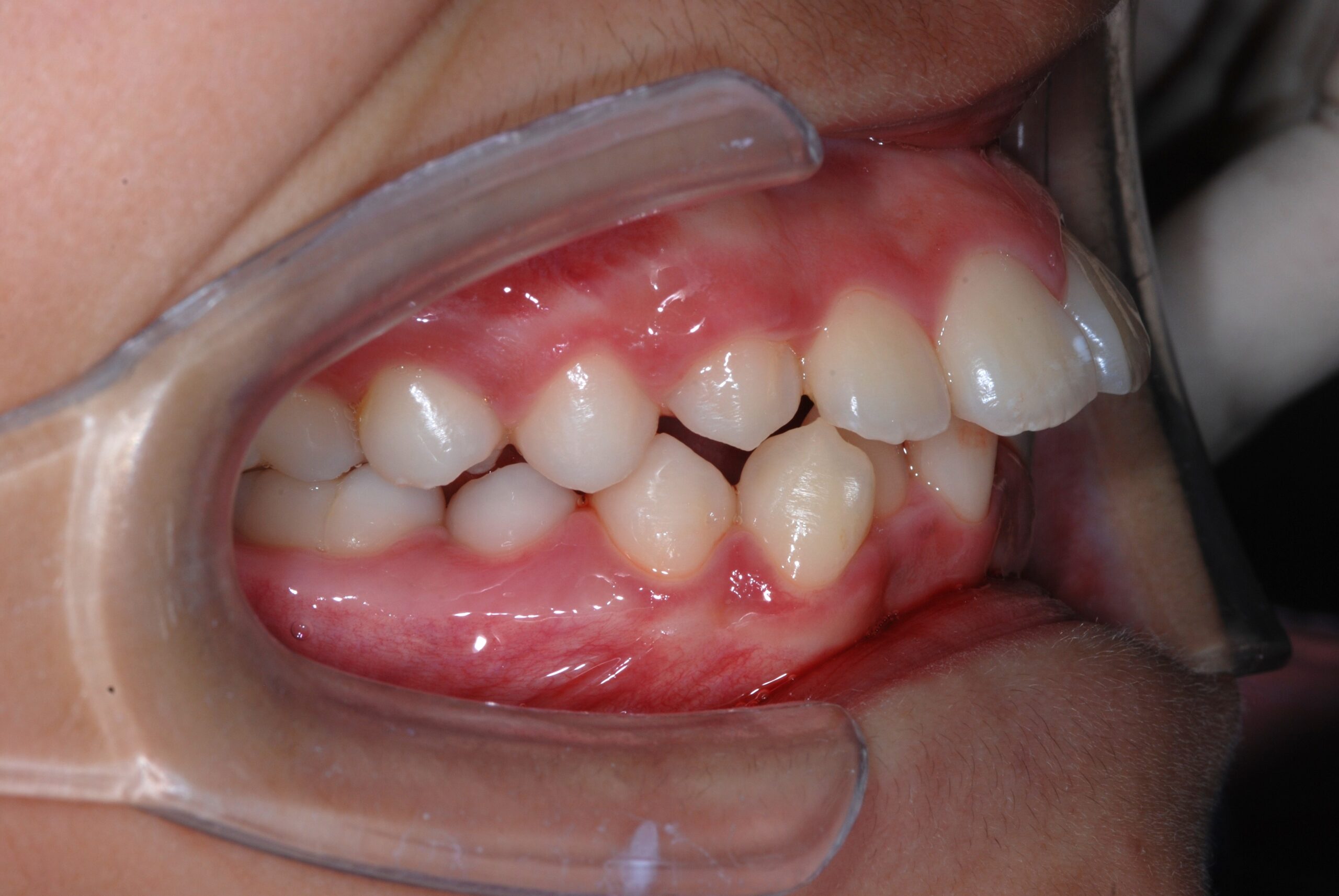
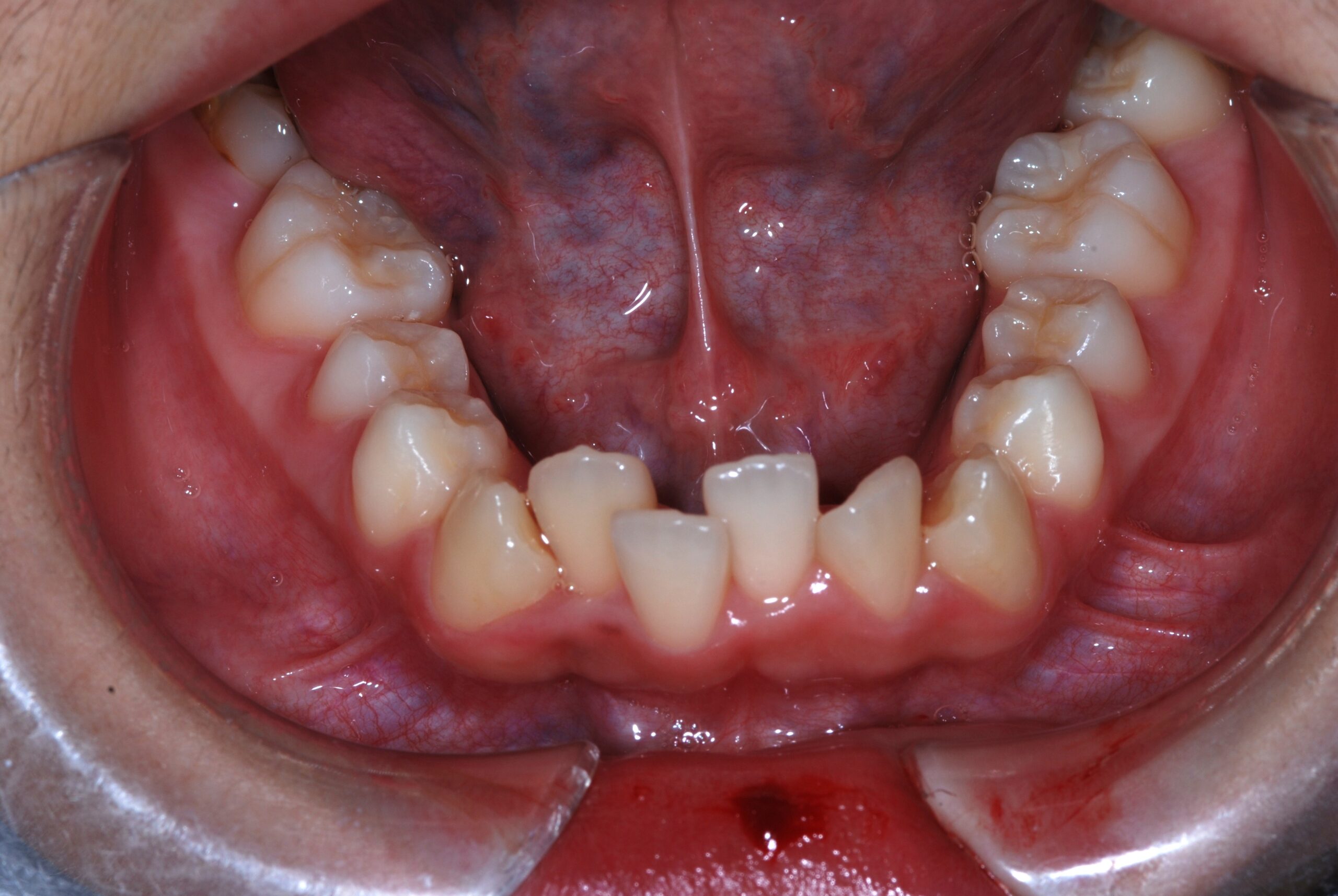
治療前




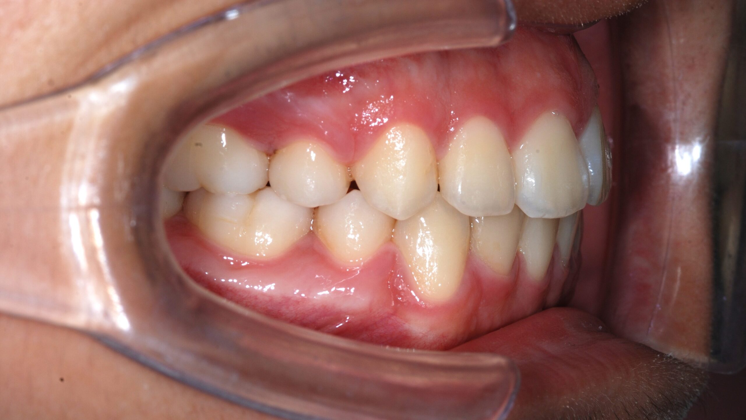
治療後




| 年齢 | 12歳 |
| 職業 | 小学生~中学生 |
| 症状 | 出っ歯、下の前歯のがたつき、 |
| 総治療期間 | 3年 6カ月 |
| 概算矯正治療費 | 690,000(2010年当時の価格設定) |
| 治療に用いた主な器具 | 表側ワイヤー矯正(マルチブラケット法) |
| 主訴(主な悩み) | 出っ歯、下の前歯のかたつき、活舌 |
| 抜歯 | 上あごの左右第一小臼歯と下あごの左右第一小臼歯を抜歯 |
| リスク/副作用 | 虫歯、歯周病、歯根吸収など |
概算治療費の単位:円

あごの成長する力を利用して矯正治療を行うことができたため、とても良い治療が出来ました。歯並びを整えるだけでなく、輪郭も整えることが出来ました。唇と歯の関係、あごの形の変化に着目してご覧下さい。
矯正治療前は歯が突き出し、上唇より前にありましたが、矯正治療後は上唇より内側に入り、斜めに出ている印象がなくなりました。横顔を見るとあごの形も変わりました。又活舌に悩んでいましたが構音にも改善を認め、非常に満足して頂けました。(院長 小川)