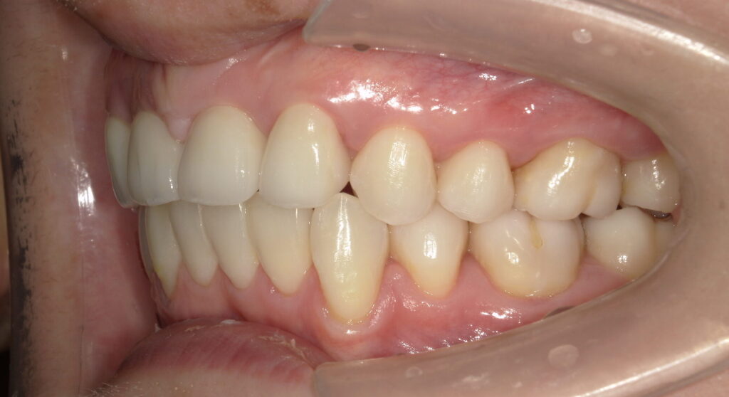
手術なし。矯正治療だけで口ごぼとガミースマイルが改善。矯正に合わせてさし歯も新しく自然なものに。

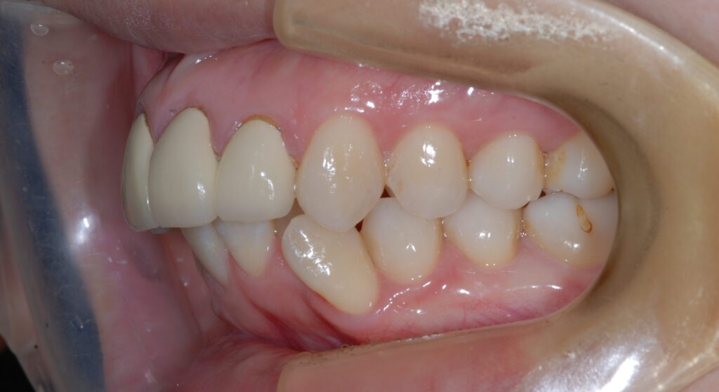
10年前に出っ歯を治す目的で前歯4本をオールセラミックスにしたが出っ歯は治らず、その後も悩んでいたとのこと。約10年経過後、矯正治療で治ることを知り、ある専門医に行ったが手術しか方法はないと言われ、又悩み病院を回って最後に当院に来院なさいました。

治療前

口ごぼの矯正治療前

治療後

年齢 31歳
職業 会社員
症状 出っ歯、ガミースマイル、先天欠如歯
総治療期間 4年7カ月
概算矯正治療費 1,159,600(2018年の価格設定)
治療に用いた主な器具 表側ワイヤー矯正(マルチブラケット法)
主訴(主な悩み) 出っ歯、あごがない(口ごぼ)、上の前歯の歯ぐきが笑った時に大きく見える
抜歯 上顎左右側智歯、下顎左右側智歯、上顎左右中切歯、下顎右側中切歯
リスク/副作用 虫歯、歯周病、歯根吸収など

概算治療費の単位:円(2018年の価格設定)

MEMO

虫歯の歯医者さんでオールセラミックス(さし歯)を試す→矯正治療で治そうと思い立つが、ある専門医で検査を受け手術一択と言われる→矯正専門医巡りを行う→当院…と、色々回って10年越しで当院にたどり着いたような感じでした。セラミック(さし歯)にしても引っ込まなかった歯をなんとか引っ込ませたく枕にわざと押し付けて寝ていたそうで、前歯の根っこはかなり弱っていました。そこで、寿命が短いと判断した前歯を思い切って抜くことにしました。かみ合わせの調整のために歯科矯正用アンカースクリューを1本、歯茎の見え具合を減らすためにも2本埋入して固定源として使用しました。これらアンカースクリュー代が上記矯正治療費以外に必要でした(33,000円×3本)。矯正治療が9割完了したところで、私の信頼する先生(島光弘院長、シマデンタルクリニック)にご相談し、前歯をもっと自然なさし歯にして頂きました。犬歯を土台にしてここまで自然に仕上げられるとはさすがです。若いお嬢さんがよく口にする「口ごぼ」も改善し、歯茎の見える面積も減らすことができました。私を含め、矯正治療を専門とする歯科医師が皆外科矯正だと診断する症例でしたが、彼女の熱意のもと、治療する側の私もなんとか矯正治療だけで完了させてあげたいと最後までやりきりました。感無量の仕上がりです。